※ 執筆者の敬称は略、所属は執筆当時のものです。
※ 文章中に掲載のURLは公開当初のものであり、現在使用されていない場合がございます。
カッとなったら「シックスセカンズ」アプローチ
EQグローバルアライアンス
エグゼクティブマスター
髙山 直
前回ではEQとは何か、そして、その開発方法をご紹介しましたが、今回はEQの便利な活用方法をご紹介いたします。これぞ「感情のコントロール」の真髄です。
カッとなってキレそうになったら6秒間沈黙をしてください。EQが正常に機能し始めます。キレる(感情的になる)というのは、EQが停止した状態をいいます。EQが停止すると、感情がコントロールできなくなるので、暴言や場合によっては暴力につながることがあります。言わなくていい一言を言ってしまったり、ついつい余計な一言を言ってしまったり、感じたことを周囲の空気を読まずに言ってしまい、相手や周囲を気まずい雰囲気にさせた経験はないでしょうか。そんなときに最適なEQ活用法です。
6秒間の沈黙で感情を上手くコントロールする方法「シックスセカンズ」アプローチです。
6秒というと短く感じるかも知れませんが、実はとてもとても長い時間なのです。ましてや、カーッとなったときの6秒です。ちょっと想像してみてください。そして数えてみてください。コラーッ!ムカムカ&ムッカー!!!から、1・2・3・・・どうですか、長く感じませんか。
そこで、その6秒間を上手くつくる方法をご紹介します。カッとなったら花の名前を6つ言ってください。カッとなったら「さくら、バラ、ひまわり、たんぽぽ、チューリップ、ハイビスカス」と言ってください。それで6秒が経過します。その6秒でEQが正常に機能しはじめ、感情のコントロールを可能にします。
もし、花の名前が思いつかなければ、車の名前や色、俳優、女優の名前でも大丈夫、とにかく6つの名前を心の中でつぶやいてください。(口に出すと変な人に思われてしまいますよ)製造業の皆さまでしたら、自社製品を6つ言われたらどうでしょうか。ん?余計にムカつく?やはり花の名前が無難かもしれませんね(笑)
あるエンジニアの方にご紹介したところ、とても素敵なシックセカンズ活用されておりました。
上司の理不尽な一言にカーッ! うっ、まずい、キレそう・・・ん?そうだ!シックスセカンズを使おう!となり、その彼は、お教えした花の名前ではなく、咄嗟に6人のグラビアアイドルを思い浮かべたそうです。 その6秒後、なんと怒りがおさまるどころか、その怒りを忘れ、楽しい気分に変わっていたというのです。6秒間の沈黙のために好きなものを思い浮かべたら、楽しい気分に変わっていた!?
それは、感情をコントロールして、こころを静めるだけでなく、同時に前向きな気持ちもつくるという、超大技が開発された瞬間でもあります。凄い・・・。私の予想を大きく超えた使い方、目からウロコの超大技の完成であり、「EQの達人」登場!です。
後日、お礼のメールが届きました。
「高山さん、シックスセカンズに感謝です。これ使えますよ!最近では、キレるのが楽しみになりました。キレたらグラビアアイドルを6人思い浮かべてワクワクできますからね。ポイントは、6人目を誰にするかですが(笑)」
こうなると、怒りのコントロールを超えて、前向きな気持ちをつくるEQ開発ですね。使い方はどうであれ、独自の感情のコントロール方法を開発されたのは素晴らしい!の一言です。
でも、6人目がポイントって、なんだろう・・・。
皆さま、怒りの感情はコントロール可能です。それどころか、怒りの感情を前向きな感情に変えることだってできるのです。
ぜひ、お試しあれ!
感情っていいものです♪
EQグローバルアライアンス
エグゼクティブマスター
髙山 直
「職場に感情を持ち込むな!」「好き嫌いで仕事をするんじゃない!」「感情的になるな!」こんな言葉をよく耳にします。みなさんは、感情は悪いものだと思っていませんか。
確かに感情は悪く使うと、やっかいで面倒なものですが、実は、上手く使うと良いこともたくさんあります。その感情を上手く使う能力こそが「EQ」なのです。
「EQ」は、誰もが保有し、身近で使っている能力です。そして、最大の魅力は開発が可能なことです。今回、皆さまには、EQの理解から開発方法までを、ご紹介をさせていただきますので、ぜひEQを楽しんでいただければ幸いです。
EQとは
仕事が佳境に入り,脇目もふらずに書類を作成している部下に,「君と同期のSEがプロジェクトでヘマをやったんだって?何があったの?ちょっと教えてよ」としつこく尋ねてくる上司。
オフィスの静寂を破って,「プロジェクト・マネジャーの理不尽な命令には,もう我慢できん!このメール見てくれよ。お前もそう思うだろ。こんな会社やめたくなるよ」と,一方的にまくしたてる同僚。
2時間にわたって,顧客からの強烈なクレームへの電話対応を終えたばかりの上司に,間髪をおかず「トラブルのご報告が…」と相談をもちかける部下。 みなさんも、こんな光景を見たり、体験したことはないでしょうか。
相手の気持ちや、自分の感情が理解できないために,自分の感情をコントロールできずに怒りに翻弄されたり、感情の使い方で失敗をした経験はないでしょうか。
そんなときに役立つ能力が、EQ(Emotional intelligence Quotient)です。
EQとは,「感情を上手く使う能力」として、米国エール大学のピーター・サロヴェイ博士と米ニューハンプシャー大学のジョン・メイヤー博士が,1990年に論文「Emotional Intelligence」で発表しました。
私たちの行動の根底には感情があります。悲しいときには涙が出ますし、嬉しいときには笑います。その感情を上手く使うと、悲しい気持ちを楽しいに変えたり、やる気が出ないときでも、必要であれば、やる気をつくることもできます
EQは人のOSです
EQとIQどっちが必要ですか?このような質問をよくいただきます。EQ理論の調査結果では「ビジネスの成功は20%のIQと80%のEQである」と書かれていました。これを読んでの私の理解です。方程式を正確に解く人よりも人の気持ちがわかる人のほうが成功をしていたのです。私は「IQ=考える能力」、「EQ=感じる能力」と整理をしていたので、方程式を正確に解く人より、人の気持ちを感じる人(わかる人)のほうが成功しているという調査結果は、私にとって大変嬉しいものでした。
この結果で、私の社会人(=ビジネス)経験を通じての一つの疑問が一気に解けた気がしました。「学歴(高偏差値)=優秀な人材ではなく、学歴に関係なく、やる気や情熱、志をもっている人が成功する」まさに、私の求めている結果だったからです。
では、最初の質問に戻ります。EQとIQどっちが必要か?成功要因として、IQよりEQが高いことは証明されましたが、それは、どちらかではなく両方とも正解という回答です。
私は、この二つの能力は対比する関係ではなく、パソコンに例えるとOSとアプリケーションの関係ではないかと思います。
突然ですが、みなさんは「頭は良いけど嫌な人」「優秀だけど一緒に働きたくない人」に、会ったことはないでしょうか。
知識やスキル、経験や仕組みというアプリケーションは優れているのですが、OSが正しく機能せず、アプリケーションが動かない、あるいは間違って機能した人たちのことです。人の気持ちのわからない知識は、鼻につくので嫌な人と言われます。人の気持ちのわからないスキルは怖い武器になり、そんな人とは一緒に働きたくない、と言われます。
素晴らしい経験も美しい仕組みも、人の気持ちがわからなければ、ただの自慢話であり、絵に描いた餅と同じで、機能しないのではないでしょうか。
今、私たちは「人の気持ちがわかって使う知識やスキルが求められている」と思います。

EQは開発できる能力です!
EQの最大の魅力「EQ能力開発」のご紹介です。EQは特別な人だけが持っている能力ではなく、誰もが持っている能力であり、訓練や教育によって伸ばすことのできる能力です。みなさんは、こう聞くだけでワクワクしませんか。
私はEQと出会い、この「EQは開発できる」の一言に、目からウロコでした。EQと性格をよく混同されることがありますが、EQと性格の決定的な違いこそが、この開発できるかできないかです。元来、性格は先天的な要素が大きく「変わりにくい」ものだといわれています。私ごとで恐縮ですが、私の性格は暗いです。会社でも、家でも「ネクラ」と言われています。これは、今も昔も変わりません。しかし、お客様とお会いしたり、講演でお話をすると「明るい」と言われます。これは、まさに仕事に必要なEQを使っているからだと思います。EQを開発して、その場に相応しい感情をつくって仕事に臨んだ結果、「明るい」と言われているのです。そうなのです!性格は暗くても、EQを開発して自由自在に感情を上手く使うことで「明るく」なれるのです。
EQの開発は日常生活の中で、いつでも、どこでも簡単にできることばかりです。いつもの行動のクセを少し変えてみたり、ちょっとしたコツを覚えることで誰でも、いつでも、どこでも簡単に楽しみながら開発できます。
それでは!今日からできる!EQこころの鍛え方の始まりです。
「明るい言葉を一日10個使って、10人と話をしよう」
これでEQは確実に開発ができます。
感情と言葉の関係には深いものがあります。悲しいときには悲しい言葉、楽しいときには楽しい言葉を使います。
では、悲しいけど楽しい気分をつくる必要に迫られたらどうでしょう。悲しくても重要な仕事に取組むために、楽しい気持ちをつくらなければならない。ビジネスではよく求められる場面です。そんなときには、明るい言葉を使うことで気分を変えることができます。
明るい言葉には、励ます言葉や褒める言葉、元気が出る言葉や積極的な言葉などがありますが、それらの言葉を一日10個使って一日10人と話をしてください。
それでは、ここで1分差し上げますので、明るい言葉を10個以上書き出してください。
自分が明るくなる言葉でしたら、なんでもOKです!
いかがでしょう、書けましたか。
そうなのです。普段、明るい言葉を意識して使っていないと、なかなか10個出てきません。
そこで言葉の開発方法もご紹介します。
とっておき!言葉の学び方講座です。
ヒントは日常生活の中にあります。
テレビドラマ・・・
ドラマは言葉の宝庫です。特に最終回は必ず見ます。ハッピーエンドで終わる最終回では、鉛筆&ノートは離せません。感動させるセリフは必ずチェック!泣かせるセリフも完全チェック!あ~こういう言葉って泣かせるなーとかいいながら、しっかりメモをしています。
お笑い(漫才・漫談・落語などなど)・・・
特に落語。なんといっても言葉の使い方が繊細です。義理人情、助け合い、どんな話も暗い言葉を使わずに、笑いとユーモアに変えて表現をしています。まさに言葉の芸術です。聴いているうちに心が暖かくなります。落語名人は言葉の使い方名人でもあります。「粋な言葉」も満載、管理職の方は、元気のない部下を粋な言葉でやる気にさせる勉強になります。
歌番組・・・
とにかく歌詞に注目です。これまた感情表現の宝庫です。切ない恋心を伝えたいときに困ったら、ラブバラードのCDを買って、歌詞に注目して聴いてくださいませ。励ます言葉も満載。平原綾香さんの「ジュピター」が新潟地震の被災者の皆さまを勇気づけた話が思い出されます。
対談番組・・・
徹子の部屋・笑っていいとも(テレフォン・ショッキング)・Aスタジオ、などなど・・・
苦労話、それを乗り越えた話、辛いときに助けられた言葉など、感動を与える言葉満載です。涙と感動の話は感情の勉強でもあります。私を支えた&救ったこの一言、恩人の忘れられないこの一言、これは要チェックです。
映画・・・
文句なしの感情を表す言葉の勉強教材です。(脚本家って凄い!と思います)登場人物の気持ちになって見てください、聴いてください。映画は言葉だけでなく、感情表現(言い方、表情、声の使い方、話すスピードなどなど)のお手本になります。それを言葉付で学べるなんて、もう最高の教材です。
本・・・
日本文学は感情表現満載です。小説も素晴らしい言葉の教科書です。侮れないのがマンガです。これ、マジ凄いです。「課長 島耕作」は、私の管理職時代の言葉のバイブルでした。部下をやる気にさせる言葉はこれで学びました。
いかがでしたか。まだまだ、たくさんあると思いますが、見渡してみると、言葉の開発は日常生活の中に多くのヒントがあることに気づきます。コツは「言葉に対する意識」を持つことだと思います。
私の経験からいうと、たくさんの言葉を知っている方が感情を上手く使っていると思います。
言葉を知っていると、言葉の使い方も上手くなり、結果的にEQも上手く使えるのだと思います。
最後に、まわりの人の反応も注意深く観察してください。あなたや、あなたの周りの人に少しずつ変化が起こるはずです。その変化は、あなたのEQが開発されはじめた証拠です。EQが開発されれば、あなたが変わり、あなたの周わりの人が変わり、あなたのビジネスにも変化が起こります。その変化はあなたにとって必ず良い結果に結びつくと思います。
『部下の不調を見逃すな!マネージャーのためのメンタルヘルスケア』
株式会社プラネット・コンサルティング
代表取締役 根岸 勢津子
部下を持つ皆さんの、一番大切な仕事の目的とは何でしょうか。多分多くの方は、チームの生産性を向上して、よい成績・成果を上げること、とお答えになるでしょう。その通りですね。会社は小さなチームの集合体によるピラミッドあるいは文ちん型を形成し、成績・成果を集約し、企業としての利潤をあげて行くものだからです。では、チームの生産性はどうしたら向上するのでしょうか。それはリーダーシップとフォロワーシップが見事にかみ合った時、マネジメント機能が発揮され、そのチーム最大のパフォーマンスを見せることができると言われています。しかし、それもすべて、メンバー全員が健康であるという前提において語られることです。今回は、自分のチームメンバーの健康管理にスポットを当ててお話しましょう。
メンバーの不調がもたらすリスク
皆さんの部下がメンタル不調に陥った場合、チーム全体に与える影響にはどのようなものがあるでしょう。まず、他のメンバーが不調者に気を使います。メンタル不調というのは勤怠に乱れが出たり(来たり来なかったり、または遅刻など)仕事の能率が下がったりしますので、本当に周りは困ってしまいます。病状が進んだ状態になれば、職場の士気に影響が出るでしょう。休職となれば、その人の代わりに入れるメンバーの確保、教育などにお金と時間がかかり、原価を増やす原因となります。
次に、顧客に与える影響です。仕事が滞れば納期も遅れ、お客様と約束した日までに、約束したクオリティの製品を納入することが難しくなります。また、メンタル不調者は仕事のミスも増えることが多いので、トラブルの原因にもなりかねません。
部下のメンタルヘルスに気を配るのはリーダーの義務
なぜリーダーは、部下の健康にまで気を配らなくてはならないのでしょうか。ひとつには、冒頭に書いたとおり生産性を向上してチームの成績・成果を上げるのがリーダーのミッションだからです。もうひとつは、企業の安全配慮義務という側面があります。これは労働契約法第5条に明記されており、『企業は労働者が安心して安全に仕事に従事できるよう注意を払わなくてはならない』という意味のことが書かれています。では、実際にその義務を遂行するのは誰でしょうか。そうです、リーダーである皆さんの義務なのです。製造業・建設業などにおいては、現場での安全確保がそれにあたりますが、パソコンの前で開発業務などに当たる方たちの安全とは何か、それを考慮して日々のマネジメントに活かすのが、皆さんに課せられた法的な義務なのです。今やメンタルヘルスケアは、企業における安全配慮義務の最重要課題と言えましょう。
企業を取り巻くリスク
安全配慮義務を怠ると、企業はどのようなリスクを被るのでしょうか。ここ数年、企業と労働者の間でのトラブルや訴訟が激増しています。未払い残業代、名ばかり管理職の問題と並んで、メンタル不調による解雇や労災認定の問題がクローズアップされています。東芝のうつ解雇無効訴訟や、電通の若手社員の過労自殺訴訟などは、いずれも企業が不利な立場に立たされ、多額の賠償金を支払う結果となっています。労働基準監督署の指導内容も年々厳しくなっており、企業は対応を迫られています。
リーダーの皆さんは、残業を命令する立場であるならば(管理監督者)、労災事故の際に責任が発生する可能性もありますので、どうか仕事の一環として部下の健康管理に取り組んで頂きたいと思います。
部下の不調に気づくポイント
体の病気も同じですが、メンタル不調も、早期発見・早期治療が何よりも大切です。あなたの部下に下記のような人はいませんか?
1. け・・・欠勤
2. ち・・・遅刻
3. な・・・泣きごとめいたことを言う
4. の・・・能率が下がった
5. み・・・ミスが増えた、身だしなみが乱れた
6. や・・・辞めたいという
1~6の頭文字をとって、『けちなのみや』と覚えましょう。あくまでも、『以前と比べて』という条件付きです。あんなに毎朝きちんと出勤してきた人が・・・とか、あんなに明るかった人が・・・という変化に気づいて下さい。ただし、変化というのはAからBに変わることを言うのであって、Aを知らなければBになったことを変化と捉えられません。何が言いたいかというと、普段の部下の様子に気を配っていなければ、些細な変化に気づくことはできないということです。
これらのポイントのうち、2、3つ程度現れたら、迷わず声をかけましょう。ここであなたがためらっていては、手遅れになる可能性があります。
上手な声のかけ方
いきなり、『君、なんかウツっぽいから病院行けよ!』と言われたら、誰だって気を悪くするでしょう。ここは下記のような声のかけ方がいいと思います。
『ねえ○○君、ちょっと顔色悪いみたいだけど、ちゃんと睡眠取れてる?』
『ねえ△△君、ここ最近元気ないみたいだけど、ちゃんと食事摂れてる?』
このように、体調の心配から入るのがいいでしょう。こういうふうに声を掛けられて気を悪くする人は、めったにいません。また、睡眠障害と食欲不振は、うつの始まりの二大兆候と言われておりますから、ちょっとした問診にもなるのです。
しかし、相手は『いえ、大丈夫です。』と答えることが多いものです。ここで、それを鵜呑みにしてはいけません。あなたはいったん引きさがりますが、その後決して目を離してはいけません。かれの状態が、そのままか、悪くなるか、回復するか、少なくとも1週間~10日間の観察が必要です。そして、1週間経っても様子が変わらない、あるいは悪くなっていくようでしたら、次の行動に出ます。
専門家への受診を勧める
次にあなたの取るべき行動は、部下を専門家に受診させることですが、そんな時、あなたの会社の人事部門は助けてくれますか?早速会社に確かめておきましょう。万が一、部下にそういう事象がおこった場合、会社が用意している医療体制があるのか、あれば、どのように利用するのか、等々。
いずれの場合にも、話し方にはテクニックが必要です。そして少しの勇気も。ここは『アイ・コミュニケーション』を利用します。これは、『私は~』から始まる話し方で、自分がどう感じているか、に重きを置いて考えを伝えるやり方です。
例えば、部屋が散らかっている子供に対して・・・『さっさと片付けなさいよ!』というのが、『ユー・コミュニケーション』です。あなたは片付けるべきだ、と『あなた』が主語になっていますね。では、これはどうでしょう。『あなたの部屋が散らかってると、お母さん悲しくなっちゃうわ。片付けてくれたら嬉しいんだけどな。』これは、自分の気持ちを伝えている『アイ・コミュニケーション』です。この手法を、部下にも応用してみましょう。
『ねえ、○○君。最近の君を見てると、どうしても心配なんだよ。
一度専門家のところに行ってくれれば僕も安心できるんだけどね。』
こんな調子です。ひとつも『病院に行け』とは行ってませんね。これを、あなたなりにアレンジして、実際に部下の顔を思い浮かべて、ロールプレイングをしてみて下さい。いざという時、あわてないで済みます。
安心して働ける環境づくりと
一方、職場づくりもリーダーの大切な仕事ですが、具体的には何に注意したらいいでしょう。それは大きく分けて2つあります。1つはハラスメントに気をつけることです。ハラスメントには、セクシュアル・ハラスメント、パワー・ハラスメント、アルコール・ハラスメントなど様々な種類がありますが、自分がされて嫌なことは人にもしない、という基本的なこが理解できないメンバーもいるかもしれません。一人ひとりの言動に気を配り、行きすぎた行為、発言があればリーダーとして毅然とした態度で注意しましょう。あなたがそれを放置することで職場の士気が下がります。自分で解決できそうにないと感じたら、すぐに会社の人事部門に相談しましょう。
2つめは、部下への仕事の与え方です。つい優秀な人にたくさんの仕事を任せがちになりますが、これは過重労働の原因となりますので、できるだけメンバー全員に均等な業務量となるよう配慮しましょう。それから、メンバーごとに以下の3つの観点から適正な状態かどうかチェックします。
1. 仕事の量
2. 裁量度
3. 周囲からの支援
この3つを合わせて『仕事の質』といいます。仕事の量が余りにも多すぎたり少なすぎたりしては、人は実力を発揮できませんね。また、言われたことばかりやっていては創造性が発揮されず、結果として生産性が低下します。権限の移譲を上手に行って、部下に適正なる裁量度を与えましょう。そして大切なのが周囲からの支援です。あなたがもし、新規プロジェクトを任せられ、わからないことがあるのに頼れる先輩も無く、愚痴を言う仲間もいなかったらどうでしょう。健康な人でも落ち込んでしまいそうですね。3つの観点から、部下一人ひとりの『仕事の質』を常にチェックし、偏りが無いかどうか観察しましょう。

ハラスメントを決して許さない職場、仕事の質がよい職場は、メンタルヘルスも向上します。部下の健康管理はリーダーの義務と心得て、日々のマネジメント、頑張って下さいね。応援しています。
~いきいき働くために、ストレスと上手に付き合おう~
株式会社プラネット・コンサルティング
代表取締役 根岸 勢津子
読者のみなさんは、心の健康と聞いてどんなことを想像しますか?そもそも心というのは臓器として存在しないだけに、なにかつかみどころがないような気がしますね。私たちは、ただロボットのように働いて自分や家族を養っているわけではなく、その時々や、場合によって様々な気分や感情を抱えながら働いているのです。
まじめなAさんがうつ病を発症するまで
ある事例をご紹介しましょう。Aさんは27歳の独身男性。今年5年目のプログラマです。この仕事が大好きで、やりがいをもって働いていました。両親は地方で健在、Aさんは都内のマンションに一人暮らしです。責任感が強く、まじめに仕事に取り組むので、勤務先でも評価の高い人でした。先月まで3年がかりの大きな開発案件に区切りがつき、今月からは違うチームで新規案件を担当することになりました。勤務先の場所も変わり、とても早く家を出なければなりません。
チームに入ってみると、そこにいたのはとても厳しいマネジャーと、物静かに仕事をする人たちでした。以前はプロジェクトリーダーの声掛けで、飲み会などもあったのですが、今度の職場では飲み会どころか普段の会話もほとんどありません。Aさんは新しい仕事でわからない部分を先輩に教えてもらいたかったのですが、とても聞きづらい雰囲気で、自分で調べるしかありませんでした。調べ物に手間取って毎日終電ごろまで仕事場にいるような日が続きました。何事もきちんとしないと気が済まないAさんは、毎日遅く帰宅して、急いでご飯やお風呂を済ませて布団に入るのですが、ここ1週間ほどよく眠れません。深夜3時ごろまで寝つけず、朝が来ても全く疲れが取れていないまま出勤する日が続きました。食事も砂をかむようで味がせず、特に午前中がつらくてたまりません。遅刻しながら働いていたのですが、ある日Aさんは、どうしても電車に乗っていられなくなり、途中下車したホームで1時間近くベンチに座っていました。それでもその日はお昼頃出勤して、なんとか仕事場で過ごしたのですが・・・。とうとう、ある朝、鉛を呑んだような気分で起きられなくなり、会社に電話を入れて休ませてほしいと伝えました。そして自分はだめな人間で、もう仕事はできないと思う、と話したそうです。
驚いたマネジャーが本社に連絡を取り、産業医の勧めでAさんは精神科を受診することになりました。診断はうつ病でした。その後、Aさんは半年間の休職ののち、ずいぶん回復しましたが、医師には同じ職場に戻るのは無理と言われ、比較的負担の軽い仕事から始めることになりました。
心の病は手遅れになる場合が多い
いかがでしょうか、典型的なうつ病のケースをご案内いたしましたが、心の病とは目に見えにくいため、手遅れになることが多いのです。風邪であれば、鼻水が出たり、微熱があったりすれば、体験的に「風邪かな?」とわかるのですが、うつ病をはじめとした心の病は、どういうものが前兆なのか、という知識がないために発見がおくれ、それに加えて治療に関する情報(医療機関や治療内容)が乏しいためになんだか敷居が高く、つい専門家に見せるのが遅れてしまった、というケースも見受けられます。
そして、もう一つの大きな理由が、心の病に対する偏見です。日本は世界の中でも精神病に対する偏見が強く、精神科にかかっていることを会社に知られたら首になってしまう、とか、変なうわさを流される、といったネガティブな気持ちが働き、なかなか精神科を受診するまでに至らない、ということがあります。そのようなことを防ぐためには、病気に関する正しい知識を持ち、予防や治療において正しい行動がとれるよう、みなさんも積極的に勉強していただきたいと思います。
ストレスと体調の関係
病気そのものを知る前に、うつ病の原因の一つと言われているストレスについて考えてみましょう。ストレスとは、日常のいたるところに存在し、ある程度のストレスは人のやる気を高めるといわれています。しかし、過度のストレスを受けると、だれでも体調不良や感情面での乱れなどが表れるものです。ホルモンや自律神経の調子が狂い、血圧の上昇、肩こり、食欲不振、気分がふさぐ、生理不順、といったような様々な症状が現れてきます。気分や感情の面でいえば、怒りっぽくなったり、悲しくなったり、無気力になったり、みなさんも多かれ少なかれ体験があるのではないでしょうか。かといって、全てにおいてストレスの原因そのものを全くなくすことは困難です。
ではどうしたらいいのでしょうか。それは物事の捉え方をプラス思考にすることです。自分を必要以上に過小評価したり、うまくいかないことばかりを想像するのはやめましょう。物の見方は常にふた通りあります。コップに半分だけジュースが入っていたら、あなたはどう考えますか?「もう半分しかない」「あと半分もある」。また、新しいことに取り組んだり、新しい人と知り合ったりするとき、「きっとうまくいく」「うまくいくはずがない」。楽天主義と悲観主義があるならば、楽天的にものをとらえるほうが精神衛生上よいに決まっていますね。このように、ストレスそのものを取り除くことはできなくても、ストレスの衝撃を和らげたりすることは可能なのです。
危険なのは、自分のストレスに気づかぬまま無理を続けることです。人によってはストレスに気づきにくい体質の人もいます。ときにはセルフチェックテストを受けるなどして、自分の心の調子に敏感になりましょう。
楽天主義になるには、普段の生活リズムも大切
読者の皆さんは意外に思うかもしれませんが、明るくものを考えられるようになるためには、健康的な生活をすることが第一歩と言われています。美味しいと感じるものを、楽しい人たちと一緒に食べ、一生懸命働き、疲れてよく眠る。そして大切なのが休日のリフレッシュです。休日にも仕事のことで頭がいっぱいでは、脳が休む間もありません。休日には、仕事と全く関係ない趣味をしたり、人と会ったりして、心身をリラックスさせてあげましょう。
また適度な運動も、脳には良い刺激となります。読者の皆さんはデスクワークが多いでしょうから、1時間机に向ったら、伸びをしたり、首をぐるぐる回すなど、座ったままできるストレッチ体操などを心がけてください。そしてランチタイムには、できれば15分間程度の散歩をするとよいでしょう。外の景色を眺めて、脳をリフレッシュさせるのです。そしてまたよい気分で午後の仕事に取り組むようにしましょう。皆さんの周りにも、自分のストレスに気づかずため込んでしまっている人がいるかもしれません。そんな時には声を掛け合って、みんなでストレス解消しましょう。
うつ病に関する知識
それでは、いよいよ病気に関する知識を学びましょう。うつ病とは、いったいどこが悪くなる病気でしょうか。心の病といっても、心という臓器はありません。そうです、うつ病は脳の機能障害なのです。脳は神経伝達物質という電気信号で体の動きや気分・感情を制御していますが、その機能が正常に働かなくなる病気です。また、ストレスがたまりすぎると脳の血流が低下することも最近の研究でわかってきています。気の弱い人がかかる病気とか、もともと怠けものがなる、なんてとんでもない。立派な政治家や経営者、そして芸術家などにも少なくないのです。簡単にいえば脳に疲労がたまった状態で、その人のストレス処理能力を超えたときに、「もう駄目だ!」と脳が信号を出すようなものです。どんなに精神力が強く体が丈夫な人でも、やりがいのない仕事を長時間やらされたり、年がら年中気を使う立場に置かれたりしたら、体か心が悲鳴を上げるでしょう。
また、大きな環境の変化も病気の引き金になります。仕事上の変化でいえば、転職、転勤、昇進、降格、会社の合併など、私生活でいえば、結婚、離婚、家族との死別、引っ越し、出産、そんなものが引き金になることもあります。だれもがかかるリスクのある病気、それがうつ病なのです。
次にうつ病の前兆ですが、寝れない(睡眠障害)、食べられない(食欲不振)、何にも興味がわかない、集中力が低下する、疲れやすい、悲しい気分、ふさいだ気分・・・こういう症状が複数あり、それが10日間以上続くようであれば、うつ病の疑いがあります。躊躇せず専門家に診てもらいましょう。早期発見なら外来(通院)だけで治せます。みなさんもご自身のことだけでなく、周囲の人のこれらの前兆にも気をつけましょう。異変に気づいたら、すぐに受診を勧めてあげましょう。
何科で診てもらうのか、治療方法は?
うつ病は精神科で診る病気です。どうしても抵抗があるようならば、市町村の保健所や精神保健センターなどで相談してみるとよいでしょう。治療方法ですが、現代医療では投薬と休養がメインとなります。カウンセリングは、医師の指導のもとに受けるのがよく、インターネットなどで調べたカウンセラーなどのもとに、自分の判断で通うのはあまり感心しません。
また、うつ病の特徴として、非常に再発率が高い病気といわれています。再発しないためには、正しいリハビリと周囲の協力が欠かせません。治療とリハビリは素人では無理です。職場に復帰し、その後徐々に調子が戻り、完全に元の状態に戻るまでが治療です。かってに薬をやめたり、医師のすすめるリハビリ・プログラムに従わなかったりすると、容易に再発してしまいます。また、周囲の人も本人を焦らせることなく、温かく見守ってあげたいものです。
明るく暮らして、うつ病から身を守ろう
現代生活はストレスが多いものですから、原因そのものを消滅させるわけにはいきませんが、すでに書いてきたとおり、規則正しい生活を送り、悲観的にものを考えない、これがうつ病予防の全てです。自分は楽しく毎日を送れているかどうか、健康的な生活ができているかどうか、これを機会に振り返ってみるのもよいのではないでしょうか。読者のみなさんが、健康で楽しく働かれることを願っています。
次回は、部下や後輩をもつ方に向けて、日常の注意事項などに触れていきたいと思います。
困難に立ち向かっているけれど幸せ?
~「ポジティブ心理学」の幸せ観と働き方~
一般社団法人ポジティブイノベーションセンター
代表理事 渡辺 誠
我々の幸せってなんだろう?
我々働く人の幸せってなんだろう?
楽に働けて、いい給料をもらって、与えられた仕事はさっさと済ませて、自分のプライベートの時間を楽しむ。
プライベートでは、素敵な奥さんや旦那さんと、景色のよい明るく大きな家に住み、ゆったりと時間を過ごす。二人でいい車に乗って温泉に出かけ、ゆったりとした時間の流れを味わう。スポーツをして、汗をながし、心地よい疲れに身をまかす。お金はある。時には二人一緒にビジネスクラスで海外旅行に出かけ、高級ホテルに泊まり、大きな自然の風景やその土地の歴史的な建物に囲まれて、おいしいものをたべ、見たこともない文化や芸術を楽しむ。
優雅な時間だ。何も困らずに、何も悩まずに生活していく。そして、何も努力しなくても、何も苦労しなくてもいい。苦しいことなんかどこにもない。なんとなく憧れているそんな生活。幸せってこれ以外にないのだろうか?このような生活をずーっとしていられたら本当に幸せなのだろうか?
人の生活は仕事が順調な時もあり、難度の高い仕事に悩むときもある。人間関係でもお互いが分かりあえる時もあり、うまくかみ合わないで悩むときもある。生活のもろもろの事がうまく行くときもあり、うまくいかないときもある。これが我々の毎日の生活や仕事ではないだろうか?この毎日をイキイキ生きていくためにはどんなことを考えて、行動したら良いのだろうか?
そんな、人の幸せを研究する学問が生まれている。「ポジティブ心理学」と言われている心理学だ。ここには多くの学者が集まり、普通の人がより良い幸せな生活をするための研究や、人の能力を最大限に発揮するための科学的な研究がおこなわれている。
ここでは、その研究の一端を紹介し、我々が幸せになるために何をしたらよいのかを考えてみよう。
「ポジティブ心理学」はマーティン・セリグマンが、1998年元旦に心理学の新しい方向性を示したことから始まる。アメリカ心理学会の会長に就任した時の事である。セリグマンは、「私の心理学としての仕事はまだ半分しか終わっていない。(心の病気で)マイナスになった人をゼロに戻すだけでは十分でない。我々は人がイキイキと生きるために心理学で何が出来るかを問いかけなければならない。どうしたら(人を)ゼロからプラス5にできるか?人が満たされて、夢中になれて、意味がある、充実した生活をもたらすためにはどんな活動がよいか?そんなことを問いかけていきたい。」
こんなことから、幸せの研究であるポジティブ心理学が始まった。
そこにはイリノイ大学のエド・ディエナー教授も加わった。ディエナー教授は主観的満足度を幸せとしている。自分が自分自身の判断で満足できると思えることが幸せなのだ。人はどうしたら自分の人生に満足できるかを20年以上も探求してきた。科学的な実証をして多くの研究成果を出してきた。幸せ博士と言われている人だ。

エド・ディエナー教授はこんな話をしている。
「シンデレラの話を知っていますか?継母にいじめられ、貧しい服しか着られなかったシンデレラが、魔法使いのおかげで、お城のパーティに参加することが出来た。王子と巡り合い、プリンセスになった。さて、その後のシンデレラはどう生きるのでしょう。ストーリーを作ってみてください。その後、シンデレラは、一生幸せで生きていけるでしょうか?」
ディエナー教授はいう。「我々が生きていくうえでバラ色の生活だけが満足感をもたらすのではない。基本的なニーズが満たされるまではお金や富は大切だが、ある程度のニーズが満たされるとお金や富では人の満足度を増やすことができない。頭のよい人が幸せをつかむように思えるが、IQが高いことが幸せと言い切れるほど関係性が無い。教育程度も同様だ。大学院卒が低い学歴の人に比べて幸せかというと調べてみると大きな違いが見つからない。年を取った人から見ると若さはうらやましいが、若い人と年をとった人の幸せ度を統計的に比べると、むしろ、年を取った人のほうが幸せ度は高い。」
どうやら、バラ色でなければ幸せでないという考えを変えてみる必要がありそうだ。幸せ博士はいう。「幸せは、アップダウンのある毎日の生活にある。幸せは結果ではなく、プロセスにある。業務課題に取り組み、一所懸命考え、解決しようとしているときのときのプロセスの中に幸せがある。難しい課題を何とか克服しようと夢中でやっている。その時点では無我夢中かもしれないが、そんなプロセスにも充実感を感じたことがないだろうか。人生はつづく。何かを達成した止まった状態でバラ色になっているときだけではなく、ダイナミックに動いている日々の活動の中に幸せや満足感や充実感があるのだ。」
そんなことを聞いて私は考えた。「え?? バラ色じゃなくてもいいんだ。私だって、アップダウンしているよ。難しい課題を与えられて、ヒーヒー言いながら頑張っているときもある。好きな仕事を夢中ですることもある。じゃあ、私にも幸せがあるかもしれない。そういえば、活動中に充実感や、やりがいを感じていることもある。確かに自分では満足しているな…。これって、幸せなの?」
心地よいだけでなく、充実感がある、達成感がある、和やかな気分になれるなど、ポジティブな感情が増えた時に満足度が向上する。それを幸せと言ってもいいだろう。
ディエナーは数々の研究調査から人生の満足度を向上する4つのポイントを教えてくれている。それが幸せのダイヤモンドだ。

このダイヤモンドを仕事の場面に当てはめて考えてみよう。質問の形で提供するので是非ノートと筆記具を用意して回答してみてほしい。
| 1 |
楽しいこと
|
||||||||||
| 2 |
熱中すること
|
||||||||||
| 3 |
意味のあること
|
||||||||||
| 4 |
人との関係
|
||||||||||
さあ、質問に答えてみると今どんな気持ちになれているだろうか?今の自分自身の満足度を確認してみよう。そして、幸せに向けて努力を始めよう。自分の在りたい姿に向かって、一生懸命努力や工夫を重ねるのだ。目標に基づき歩む、その努力そのものに幸せが宿ってくる。
最後に、ディエナーによるとポジティブで満足して仕事をする人たちは次のような特徴を持っている。

ポジティブで仕事の満足度が高い人は、自信があり、情熱的でバイタリティに富み、クリエイティブな人である。人のことを大事にする友好的な人でありながらハードワークをする。仕事を楽しんでいるので、精神的に充実している。そして、最後に高いパフォーマンスをあげる。そんな人がポジティブでハッピーな人なのだ。
この絵を見てどう思えるだろうか?一言で言うと、仕事ができる人ではないだろうか?会社に貢献をしている人だ。あなたも私もそんな人になっていける。自分の仕事で満足度を上げることで会社に貢献できる。そんなできる人の仲間入りだ。
渡辺 誠 (わたなべまこと)(Max 渡辺)最終回 その場でできる心身評価
~「ストレス」「筋力」「柔軟性」「体のサビ」に対する対処法③~
清泉クリニック整形外科 スポーツ医学センター 理学診療部
部長 嵩下 敏文
パソコンに向かってデスクワークしているみなさん、肩こり・腰痛・頭痛などに悩まされていませんか?第6回では「ストレス」「筋力」「柔軟性」「体のサビ」に対する対処法②として「食う」=「食事」についてご案内しました。最終回となる今回は、「ストレス」「筋力」「柔軟性」「体のサビ」への対処法③として「遊ぶ」=「運動」について紹介いたします。
運動が重要である!ということは、みなさんは十分にわかっていると思います。しかし、故・植木等さんが歌っていた「わかっちゃいるけどやめられない♪」ではありませんが、「わかっちゃいるけどつづけられない♪」のが現状です。

私が臨床の現場で、「運動が重要ですよ」と説明させていただくと、「私は体を動かす仕事だから」とか、「営業なので毎日20000歩は歩いています」といったお答えが返ってくることがあります。この時、私がお伝えするのが、「運動」=「労働」ではないということです。

みなさんも労働をされる時や、歩く時を思い出してみてください。仕事で働いている時や、買い物で歩いている時にわざわざ疲れるようなことはしません。この時は、無意識に疲れないように体は働きます。言い換えれば、使いやすいようにしか体は働かないということです。つまり、使いやすいように働く=使いやすい筋肉ばかりが働くということなのです。そして、使いやすい筋肉ばかりを使うということは、食事で例えると好きな物しか食べないということです。

好きな物しか食べなかったらどのようになるかは簡単に想像がつくと思います。そうです。病気になってしまうのです。

筋肉も食事と同じで、使いやすいものばかり使っていると疲労や摩耗が起こってしまいます。結果、筋肉が疲労して“はり”や“痛み”として現れます。 つまり、“はり”や“痛み”は、使い過ぎの結果、体が私たちに送っている信号なのです!!

では、どのような運動が体を健康にするのでしょうか?
運動については諸説もろもろあり、様々な運動方法が蔓延しているのが現状です。今回私がオススメしたいのは、多くの報告で推奨されている、『自分の最大筋力の30~50%』で実施することです。この負荷量で運動することは、最も身体に負担がないとされています。
ここで、「30~50%の運動ってどれぐらいなのか?」という疑問が浮かんできますよね。
厳密に測るとなると、以下の写真のようにトレッドミル(ランニングマシン)で呼気ガス装置と呼ばれる酸素マスクみたいなものを付けてテストしなければ、各人の適切な運動負荷量を決定することができません。

しかし、実際にテストすることは機器がなくてはできませんので、簡易的に適度な負荷量で運動を実施する方法=「簡易的運動指標」をご案内いたします。

上記①~⑥の状態+☆心拍数内で運動を行うことが最も体に負担なく、効率よく体力を向上させるための秘訣となります!
最後に、筋肉を効率よく使う為には継続して運動する事が重要となってきます。筋肉はお金と同じと考えてみてください。継続して貯金しないとお金は貯まりません。痛みなく健康的に生活していくためには、継続して運動を行い『貯筋』をつくることが重要となるのです。
ウォーキング・自転車・プール等々、運動の種類はなんでもかまいません。大事なのは、運動の負荷の設定です。そして、無理なく継続して実施することが重要となってきますので、今回ご紹介した方法で運動してみてください。
「運動=「辛い・大変」と想像されることが多いかと思いますが、想像しているよりも弱い運動で十分効果があります。また、「運動」=「遊ぶ」ですので、運動を楽しむことも忘れないでくださいね。
最終回となる今回は、「ストレス」「筋力」「柔軟性」「体のサビ」に対する対処法③として「遊ぶ」=「運動」についてご案内してきました。
これまで7回にわたってお読み頂きありがとうございました。今回のシリーズはこれにて終了となります。また皆様に有益な情報を提供できる機会を楽しみにしています。
(文責:清泉クリニック整形外科 スポーツ医学センター 理学診療部 部長 嵩下 敏文)
ポジティブアプローチ
ポジティブ心理学をベースにしたイキイキした職場作りと生産性の向上の手法
一般社団法人ポジティブイノベーションセンター
代表理事 渡辺 誠
1. はじめに 今のソフトウェア開発の課題
最近、ソフトウェア開発部門の経営者や現場のマネジメントの方々からこんな事をよく聞くようになりました。
「よりよい品質の商品を低コストでしかも短期間で作る高い生産性が求められているのです。そのためには、SQCやソフトウェア開発のさまざまなツール・手法などを勉強し、専門的な技術アプローチもいろいろ取り入れてきたのですが、いま、それでは、間にあわなくなっているのです。専門技術を高度化することはこれからもやっていくつもりですが、社員一人ひとりのモチベーションを高くして、生産性を上げることはできませんでしょうか?ソフトウェアはやる気になって作ったものと、作業として漫然と作ったものでは品質が格段に違うのは、みんな分かっていると思うのです。人の心に働きかけることにより、より高いパフォーマンスを達することはできるのでしょうか?」
皆さん、とても真剣です。
こんなことができるのでしょうか?あまりにも理想かもしれません。しかし、これはできるのです。「ある役員の方は、これができたら、最後の砦かもしれないね。」と言っていました。
それを実現するにはどのようにすればよいのでしょうか?
ポジティブ心理学は「人の力を最大限に引き出すこと」を研究する学問です。1998年にアメリカから始まり、ヨーロッパに広がりました。いまは、シンガポールや中国でも盛んに研究され、応用されるようになりました。その研究成果を使った方法がいくつかあります。その中から今回はポジティブアプローチを紹介しましょう。主に、マネージャーが部下の力を最大限に引き出すという視点からご紹介したいと思います。
2. 今までの考え方とポジティブアプローチ
我々が進めてきた、科学的管理法は素晴らしいものがあります。これが日本の高品質を作り出し、支えてきました。日本の誇るべき考え方であり、今産業界の中心的考え方です。
我々が作っているシステムや商品に欠陥があってはなりません。製品は、完璧に作動することで信頼性が得られます。したがって、欠陥があれば、真の原因を見つけ出し、根本的な解決策を見つける必要があります。そこで、科学的管理法に基づいた品質管理が大切になります。データを基に、なぜなぜ問答を5回繰り返して本質的な問題を見つけ、解決するのです。ソフトの現場にいる方には言うまでもありませんね。我々がとても慣れている考え方です。そして、高品質の商品を作り上げる根本的な考え方です。この考えは、製品のように完璧を求められるものに利用されると効果的です。
しかし、この手法が人のマネジメントに利用されるとどうなるでしょう。
「なぜ、できないのだ。」「本当の原因は何なのだ。」「これが欠けている、これができていない、原因は・・・」と詰めてもいい答えは出てきません。言われた人はどのような気持ちになるのでしょうか?その人の気持ちは落ち込み、自信をなくして、エネルギーが落ちます。自信が無い状態やエネルギーが落ちた状態を繰り返しつづけると、欝などの病気になってしまうかもしれません。
人は完璧ではありません。完璧でないものに対して、完璧を求める問題解決手法を適用しているのです。弱みを矯正するより、強みを使ったほうが成果を挙げるのが人間です。
そして、その強みやうまくいく仕事の仕方は人それぞれ違います。金太郎飴のように全く同じではないのです。
あまり、ここでは、テーマが異なるので詳しくは述べませんが、ポジティブ心理学で証明された事を実践している活力のある職場では、欝などの燃え尽き症候群が極めて少ないことが研究の成果から明確になっています。
3. ポジティブアプローチとは
今までの、「何ができていないのだ。」「なぜ、できないんだ」という問題志向の考え方を変えたらどうなるでしょう?
「ゴールはどのようにしたら達成できるのだろうか?」という発想に変えて見てください。当たりまえのことを言っているようですが、ありたい姿を明確に描き、それを達成することを目標におき、マネジメントをすると、その結果には大きな違いが現れます。
それを実現するのが、ポジティブアプローチです。図1をご覧下さい。これがポジティブアプローチの概要です。

ポジティブアプローチでは以下の事を考えます。
まずは、仕事をチームで実施する際に「強み」をベースに役割を検討します。「強み」を活用できる役割をアサインすることにより、メンバーの継続的なやる気を高め、高い生産性を確保します。これは、仕事が始まるステップに入る前の大切なマネージャーの実施項目です。
その後、目標を達成するために、以下のプロセスを適用していきます。
ありたい姿を明確に描き、それを実行する意味をメンバー間で共有します。この時点で、仕事をしている意味にメンバーの共感を得られれば、メンバーのベクトルが合います。この目的に集約されます。
「うまくいっていることはなにか?」「なぜうまくいっているのか?」を探求します。うまくいっていることは継続します。そして、このうまくいった事をつくりあげたのには、どんな努力や工夫があるかを探しだし、メンバーの理解と動機付けをします。メンバーがすごい事をしたと思ったら素直に気持ちを伝えてあげるのが、さらに動機付けの効果をもたらします。
「うまくいかないことはなにか?」を、明確にします。同じ事を繰り返しても違う結果は得られません。「うまくいかないこと」を明確にして、違うことを実施するためのヒントを探します。
「うまくいったことを継続するのはどれか?」「うまくいかないことをやめて、何をすればありたい姿につなげられるのか?」を検討します。できれば他のメンバーにも参加してもらい選択肢を検討するとチームがまとまります。
「具体的なアクションは何をするのか?」を明確にします。次回、(来週か2週間後)に報告してもらうことを約束します。勇気付けて現場に戻ってもらいます。
4. ポジティブアプローチの効果
ポジティブアプローチは図-2のような考え方をベースにしています。ポジティブな考え方が根底にあることがお分かりいただけますでしょうか?この考えをベースに会話を進めると大きな違いを作れます。

このポジティブアプローチは人に自信をあたえます。人が継続的に積極的に仕事に関わるための秘策がここにあります。各ステップでどのようなことが起こりうるのか、一つひとつ見て行きましょう。
強みとは ①、うまくできること、②、エネルギーのでること、③、よく使うことです。
ただ、うまくできるだけでは強みとはいえません。その人が時間を忘れるほど夢中になれる。それを使って仕事をしているときにワクワクする。そんなときに人は充実します。その充実感をつくってくれるのが、その人の強みです。
この強みを使って仕事をしていると、短い時間で高い成果をあげ、成功確率が高くなることがポジティブ心理学の研究成果で証明されています。強みをたくさん使うことができれば、その人にとってその組織は、やりがいのある意味のある組織になるのです。
マネージャーは人の強みをよく見ていく必要がある時代になってきました。人の強みは一人ひとり違います、その「違いがあって当たり前」という発想を、頭でだけでなく、自分が本当の心の深いところで理解できたときに、人を活かしきれるチームマネジメントができます。
メンバーのベクトルを合わすための一番大事な作業です。マネージャーの思いとメンバーの思いが違うことはどこの現場でも良くおきています。案外、プロジェクトをすすめていて、目的が合っていない仕事をしている人が多いものです。意味を説明し、仕事を達成した後で得られる効果をみんなが納得すると、ベクトルが合い、チーム力を最大限に発揮することができます。メンバー全員が絵を書いたようにありたい姿を明確にイメージできるようになることがポイントです。
うまくいっていることを大事します。うまくいっていることは繰り返して行い、さらに熟達させていきます。うまくいったことについてなぜうまくいったかの原因を聞いていくと、メンバーの強みや大切にしている考え方が分かってきます。
できれば、マネージャーがメンバーの方に「うまくいったことは何ですか?」「あなたが何をしたからうまくいったのですか?」という質問をしてくれるとメンバーのやる気があがります。そして、強みや自分の大切にしている価値観に気付くことは、これから先の継続的なやる気の維持に繋がります。
また、メンバーにとってはうまくいったことを明確にしていくプロセスで、自分が工夫し、努力してきた結果を理解してもらうことができます。人にとって、自分の努力や工夫を理解してもらうのはとても大事なことです。自分を理解してもらい、認めてもらうことによって自信を得ることができます。
うまくいかないことについてもあまり失望はさせません。失敗したそこから何を学ぶかという姿勢が大事にします。そして、失敗から学びを得たら、ありたい姿の未来に向かって、どうすればよいかと考え前にすすめていくのです。この姿勢も、職場にポジティブな風土をつくります。
この考えを進めるには、前提として、成功の裏には失敗があることを認めなければなりたちません。失敗は悪というような、減点主義の組織風土ではこの考えを浸透することができません。そんな組織には、どんな成功者でも、失敗の経験の上に、今の成功があることを意識付ける必要があります。
問題を解決するには、目標やありたい姿に向かって、いかに多くの選択肢を出せるかが課題です。ここでは、どのような方法があるのかを、たくさん出します。できるだけチームで考えましょう。ブレインストーミングなどの手法を使うことが多くあります。
創造性については、以下のことがポジティブ心理学では研究成果として発表されています。「ポジティブ感情が豊かな日にはより創造力が発揮される。」ポジティブ感情とは、充実・感謝・親和などがありますが、自分に対する肯定感と言っても良いかもしれません。自己肯定感をもてない人は、アイディアが出にくいだけでなく、出したアイディアも自信が無いので、採用されることが少なくなります。そして、なおさらアイディアが出にくくなります。アイディアを多くだせる雰囲気をつくるためにも、今までのポジティブアプローチで説明してきた、「強みを活かす」「よいことさがし」「うまくいかないことへの対処」などが大切になるのです。
次の一歩ではすぐできることや、すぐに手をつけられることから始めます。すぐできることですから成功の確率が高くなります。したがって、成功して自信をつけることができますし、この成功の積み上げが自己肯定感を強くさせます。マネージャーや周りの人からの承認や賞賛も得やすいし、本人もプロジェクトが進むので楽しくイキイキと仕事を進める事ができます。
勿論、難しいことにチャレンジもします。その際は、なるべくプロセスを細分化して小さな目標を達成していくようにすると進歩が分かりやすくなります。
5. ポジティブアプローチを利用した人の声
あるIT企業でポジティブアプローチ研修やポジティブを定着させるための仕組みづくりを実施しました。その企業では教育参加したマネージャーに対して2ヶ月間の活動を実施してもらい、部下が評価する仕組みも取り入れました。どのような変化があるかを事前・事後で測定したのです。その結果、チームの絆の強化・ゴール・目的意識の強化、チームの活性化の強化、メンバーの動機付けの強化、について統計上からも明らかな違いが出ました。今回の2ヶ月間の測定では、生産性とコミュニケーションは、多少よくなりましたが統計上明らかな効果とは言えませんでした。
その企業のあるマネージャーは「うまくいったことは?」「それがうまくいったのには君のどんな強みが活かせた?」とメンバーに問いかけて、部下の理解と強みの発見を同時にしていました。そのマネージャーは「これは魔法の言葉ですね」といっていました。自由な明るい雰囲気のチームをつくり、メンバーのやる気を維持するための魔法の言葉だそうです。ポジティブに人に焦点を当てたときに、大きな違いを作りだすことができたとのことです。
また、他のマネージャーは、「メンバーがいままでに比べ、小さな事を相談してくれたり、問題を早めに教えてくれたりするようになりました。」と伝えてくれました。「これにより、プロジェクトを実施する際に、早い段階で手を打てることになり、大きな問題を事前に防ぐことができている」と喜んで教えてくれました。
6. ポジティブアプローチの実現
ポジティブアプローチの考え方は簡単ですが、組織に定着させるには、仕掛けが必要です。まず、自分やメンバーの強みを知るにも仕掛けが必要です。また、ポジティブアプローチを組織に定着させるためにも仕掛けが必要です。
また、問題志向との共存や使い分けも大きな課題です。組織全体が、問題志向もポジティブアプローチも両方使えるようになる必要があります。問題志向は「もの」や「システム」に利用し、ポジティブアプローチは「人」に利用する事をお勧めしています。「人」が「システム」を作っているときは、問題志向とポジティブアプローチの両方を利用すると良いでしょう。
この情報が、皆様の職場がイキイキとして、高いパフォーマンスを誇れるようになることにお役にたてたらうれしいです。さらに、詳しい情報が必要な場合は以下へご連絡ください。
info@positiveinnovation.org
第6回 その場でできる心身評価
~「ストレス」「筋力」「柔軟性」「体のサビ」に対する対処法②~
<監修>
清泉クリニック整形外科 スポーツ医学センター
専務理事 脇元 幸一
パソコンに向かってデスクワークしているみなさん、肩こり・腰痛・頭痛などに悩まされていませんか? 第5回では「ストレス」「筋力」「柔軟性」「体のサビ」に対する対処法①として「食う」=「食事」についてご案内しました。第6回目となる今回は、「ストレス」「筋力」「柔軟性」「体のサビ」への対処法②として「寝る」=「睡眠」について紹介いたします。
みなさんの生活は全て何らかのサイクルによって成り立っていて、人間が健康な生活を送るためには、このサイクルを乱すことなく生きていくことが大前提となります。では、このサイクルとは何を示すのでしょうか。
サイクル=「リズム」、つまりサイクルとは生活のリズムを表します。例として私の一日を記載してみます。

みなさんも毎日の生活を思い返してみて下さい。個人差はあれど、みなさんの生活はリズムを刻みながら成り立っているものです。記載例は一日のリズムですが、大きなリズムでは「1週間」「1ヶ月」「1年」「10年」、小さなリズムでは「12時間」「1時間」「1分」「1呼吸」など、必ずなんらかのリズムで行っているのです。
日々の全てを同じリズムに整えることが最良の手段となりますが、なかなかそうはいかないこの世の中・・・。
そこでリズムを刻む上で最も調節が可能なのが睡眠なのです。
睡眠のリズムについて勉強してみましょう。睡眠には大きく分けて二つのサイクルが存在します。みなさんも聞いたことがあるかもしれません。

このREM睡眠・Non-REM睡眠の繰り返しが睡眠であり、脳と体の休息リズムなのです。
みなさんも必ず経験していると思いますが、寝起きが爽快のときや、起こされても不快では無いという経験があると思います。逆に、すぐ起きられないときや、起こされるとすごく不快に感じるときがあったはずです。そうです!合点のいく皆さんなら想像ができたと思いますが、寝起きが良い時は"浅い眠り=体の休息"の時であり、寝起きが悪い時は"深い眠り=脳の休息"の時となります。
目覚めのタイミングとしてNon REM睡眠では休んでいた大脳が無理やり起こされるので、頭がぼーっとし、すっきりとしません。逆にREM睡眠の段階では脳も活動しており眠気が浅いので、目覚めのタイミングに適しています。ですから、起きるときは"浅い眠り=体の休息"時に起きることでストレスなく起きることができるのです。

では、この睡眠リズムの日常生活における実践方法をご案内します。
寝始めはNon-REM睡眠へ向かい、1.5時間後にREM睡眠のピークを迎えます。その後Non-REM睡眠へ移行し1.5時間後にまたREM睡眠のピークを迎えるという1サイクル1.5時間=90分のリズムを繰り返しています。つまり、起きる時間を"浅い眠り=体の休息"のピークに合わせ、逆算して布団に入るというようにすると良い目覚めが迎えられます。

下の図に示すように、REM睡眠がしっかり取れると学習効果が向上することが証明されています。言い換えれば、仕事の効率をあげるためにはREM睡眠をしっかりと取ることが重要であり、睡眠がみなさんの昇進にも関係するのでは!?

一般的な書物では7時間の睡眠を取ることが望ましいと言われています。睡眠のサイクルを示すグラフを参照していただけるとわかりやすいと思いますが、寝始めてから7時間後はちょうどREM睡眠のピークとなるのです。しかし、仕事で忙しくて7時間の睡眠が取れない方は、起床のタイミングをREM睡眠のピークに合わせるというちょっとした工夫で心身へのストレス軽減が図れます。
REM睡眠のピークで自然に目が覚めるというのが本来の自律神経リズムにストレスをかけない唯一の方法です。目覚まし時計で起きるような生活を止め、寝る時間と起きる時間をしっかり一日のリズムに組み込むことが最大の健康を享受できるともいえます。
今後は目覚まし時計の無い生活を目標としましょう!!
第6回となる今回は、「ストレス」「筋力」「柔軟性」「体のサビ」に対する対処法②として「寝る」=「睡眠」についてご案内してきました。次回は、「ストレス」「筋力」「柔軟性」「体のサビ」対処法③として「遊ぶ」=「運動」について紹介いたしますのでお楽しみに!!
(文責:清泉クリニック整形外科 スポーツ医学センター 理学診療部 嵩下 敏文)
第2回 やりがいのサイクル フレームワークの中身とは?
やりがいが継続するために
AJS株式会社 技術企画部
諸 葉子
2010年を迎えました。
年始にこれから先の目標を立てた方もいらっしゃるのではないでしょうか。本掲載が2月ですので、約1~2カ月、継続できている!と胸を張って言えると嬉しいですね。
今回は、前回のフレームワークをもう少し詳細に把握し、やりがいを継続するための方法をみなさんと考えていきたいと思います。
前回はこちらから⇒ Vol.7 2009年8月号 5. 憩いの広場「目標とやりがい」
1. やりがいのサイクル フレームワークの中身とは?

前回、この図をご紹介しました。この図は、「やりがい」「やる気」について、「①目標」「②行動」「③評価」「④満足・達成感」「⑤渇望」の5つのフレームワークを当てはめて定義してみたものです。
まず、このフレームワークの1つ1つがどのようにやりがいにつながっているのかを押さえたいと思います。

目標は、「幸せな未来へのイメージ」につながっていることを自ら意味づけできていることが大切です。 私の場合の例ですが、取り組んだ資格試験は、私にとって、合格することで自分の自信につながり、世界が広がり、世の中を自分の足で立っている自分になれるような、そんな幸せな未来へのイメージでいっぱいです。試験勉強の継続は、頭の中も体も生活もぐちゃぐちゃになるくらい大変(ものを忘れることが重なり、本気で脳神経外科へ行きました)でしたが、「幸せな未来」があることを確信しているからこそ、継続できていました。
自身の「価値感」に意味づけされている「目標」は、当人の中では当たり前のように継続されていくものになります。
大切なことは、「○○の資格を取る」、「売上・年収を○○円上げる」という目標を設定するときに、それを達成することが自分の「幸せな未来へのイメージ」にどのようにつながるのか、意味づけ、自分の価値感とのつながりを明確にするということです。
「幸せな未来へのイメージ」に結びつかない目標であっても、仕事であれば取り組む、という場合は多いでしょう。ただ、「幸せな未来へのイメージ」と目標が結びついたとき、自ら「やりたい」という気持ちが生まれ、周囲の人達が考える以上の行動や成果に結びつき、想定以上の結果となる可能性が大きいのではないでしょうか。

さて、目標が意味づけされ、ぶれることがないとは言っても、「行動」と「評価」自体が継続できる仕掛けにしておくことも大切なポイントです。「やる気」「やりがい」を感じるために必要なポイントを4つ挙げてみました。
| 1. |
やることが見えている
やることがわからない。 |
| 2. |
自分でコントロールできている
心理学者エドワード・デシは、「人は、自ら選択することによって自分自身の行為の根拠を十分に意味づけることができ、納得して活動に取り組むことができる。」と説き、それを『自己決定』と述べています。 |
| 3. |
知的好奇心が沸く
動機づけ理論として、心理学者ブルーナーは、「知的好奇心」の重要性を指摘しています。新しいことや珍しいものにおもしろさを感じ、探求しようとする知的好奇心を感じるとき、人は内発的に動機づけられます。 |

「評価」という言葉自体はあまり良い響きではないかもしれません。しかし、「行動」の中で取り組んできたことが自分の成長につながったのか、目標に近づいているのかの確認は、次のステップを決めていく上でも大切なものです。「評価」自体の行為を「やる気」「やりがい」とする為には、楽しくできること!が大きなポイントです。
心がけることとしては、
などです。他にも考えられる方は、加えてみてください。

これらは、上記①~③と異なり、そのときの人の感情です。結果がOKとなったとき、「満足・達成感」が得られます。目標を達成し、「満足・達成感」を得た後、「やりがい」のサイクルに戻りたいと思ったとき、「渇望」が生まれ、再びやりがいのサイクルに入っていくのではないでしょうか?
あなただったら、どのように考えますか?
やりがいのサイクルに戻る他の見方がありましたら、ぜひ、共有させてください。
2. やりがいが継続するために
「計画まで作ったのに続けられない」
という経験をお持ちですか?
何故、継続できないのでしょうか。
継続できない、それはフレームワークで考えたとき、どのように考えられるでしょうか。
これまで順に読み進めてこられた方はもうお気づきですね。
あなたの継続できないことについて、なぜだかを確認してみましょう。 何か当てはまるものがありませんか?
![]() |
|
![]() |
|
![]() |
|
2009年8月号と今回の2月号と2回にわたり、「やりがい」について考えてみました。
最近よく耳にするのが、「自らなりたい姿を考え、目標を自ら設定できる人が少ない。」ということです。でも、それは、自分のなりたい姿や目標を設定することの経験がないだけで、これからどんどん経験を積んでいけばいいだけと考えています。
私は偶然にも、会社の仲間と自らのなりたい未来の姿を語る場を持っています。仲間と場を持つことで、自らの未来を考え、そのためにお互いにどのように応援できるのかを考え、自分のやりがいについて考え続ける毎日を送らせてもらっています。
ぜひ、読者のみなさんも、幸せと思う未来のイメージを描き、そこに向かっていることを実感した幸せな毎日を過ごしてほしいと願っています!
最後まで読んでいただき、ありがとうございました。
第5回 その場でできる心身評価
~「ストレス」「筋力」「柔軟性」「体のサビ」に対する対処法①~
<監修>
清泉クリニック整形外科 スポーツ医学センター
施設長 脇元 幸一
パソコンに向かってデスクワークしているみなさん、肩こり・腰痛・頭痛などに悩まされていませんか?前回までは心身の疲労や体力、体のサビ度といった体の表面・内面についてお話ししてきましたが、第5回となる今回からは、いよいよそれらに対する対処法を数回にわたってお話します。キーワードは「食う」「寝る」「遊ぶ」。今回は「食う」という食事についてご案内していきます。
現代において、老化や発ガンの原因、また痛みの原因として注目されているのが、「身体の酸化」です。これには「活性酸素」と言われる非常に酸性の強い物質が関与しています。この活性酸素は日常の生活の中で常に体内でつくり続けられていますが、体内にはそれを処理する抗酸化酵素(能力)たちが存在しています。そのため、通常、身体は酸化しません。ですが、その抗酸化酵素による処理能力を、大きく上回る程の活性酸素が作られる生活習慣だと、ストレスの除去、筋力が出やすい筋内環境、柔軟性がでやすい筋内環境、体内のサビ除去といったものが整備されなくなってしまいます。
それは現代の欧米化された食事です。

現代の欧米化された食事は、牛乳や肉を中心とした動物性たんぱく質が中心であり、酸化しやすい油を使った食事が多くなっています。動物性のたんぱく質は腸の長い日本人では腸の中で腐敗して、活性酸素を発生させ、酸化した油はそれだけで十分に体を酸化させていきます。食事の欧米化は日本人の食を悪化させています。しかし、現代の欧米人はこれらの食事の害が減少傾向にあるようです。それは、欧米人たちは食事の重要性に気づき、なんと古来からの日本食を取り入れるようになったためだと言われています。

古来からの食事は、そのままの米や野菜、漬物などの発酵食品を中心としていました。日本人がその食事が合わないはずがありません。これらの食事は腸内で腐敗する前に排出されるため活性酸素を生まず、且つ、体内で活性酸素を処理し、体を生き生きさせるに有り余るほどの抗酸化酵素を含んでいます。結果として、ストレス物質が除去されやすい体の環境が出来上がるわけです。
以下に理想的な食事をとるタイミングとレシピの例をご案内いたします。

上の絵で示したように、体内には食事を摂取する重要なタイミング(腸内時間)というものがあります。
皆さんに休みが必要なように、腸にも休みが必要です。この時間に腸内に強い刺激を与えると腸は休むことができず、うまく消化ができません。果物や野菜といったやさしいものを食事することを薦めます。
この時間は腸がしっかりと働いて消化を行うことができる時間です。世間一般にいわれる食事とは、この時間に摂取することが望ましいといわれています。
摂取して消化した食べ物から栄養素を吸収して翌日に必要なエネルギーへ変える作業をおこなっています。この時間帯に食事を摂取するとエネルギー変換という重要な作業を行っているのに消化の仕事もしなければならないため、非常に作業効率が落ちます。さらには、朝方の休息の時間に休息できないとなると腸は休む暇がなくなってしまうのです。
<レシピ:例>
朝食:果物のみ

昼食:サラダ,おにぎり,お漬物等

夕食:8割サラダ,2割好きな物

レシピはあくまでも一例ですが、このような食事を腸内時間に合わせて摂取することで、よりよい体の環境ができあがるわけです。
皆さんも仕事をしていて、良い環境と劣悪な環境ではどちらが仕事しやすいですか?
もちろん良い環境が働きやすいに決まっています。体を動かす、痛みやストレスのない体をつくるには、まずは環境整備から行わなければなりません。
体の筋肉の細胞は約3週程度で全て入れ替わります。(肝臓などは約3ヶ月ですが)この食事と腸内時間を意識して実践してみると3週ぐらいで体の変化が体感できますよ♪
第5回となる今回は、「ストレス」「筋力」「柔軟性」「体のサビ」に対する対処法①として「食う」=「食事」についてご案内してきました。次回は、「ストレス」「筋力」「柔軟性」「体のサビ」対処法②として「寝る」=「睡眠」について紹介いたしますのでお楽しみに!!
(文責:清泉クリニック整形外科 スポーツ医学センター 理学診療部 嵩下 敏文)
目標とやりがい ~幸せな未来へのイメージにつなげる~
AJS株式会社 技術企画部
諸 葉子
今年度もほぼ半分が過ぎようとしています。年度の始まりでは、会社が掲げる目標を上司から説明され、その組織の目標に基づいて、自分の目標を立てた方も多いかと思います。また、その目標とは別に、自分の目標を立てられている方も多いかもしれません。
目標、達成できそうですか?
目標に向かっての活動は、やりがいを感じるものでしたか?
部下がいる方は、メンバーはやりがいを感じて力を発揮できていましたか?
今回は、その「目標」とその「やりがい」について皆さんと考えたいと思います。
まず、目標って何でしょうか?
資格試験の合格、業績目標の達成、年収アップ、マラソン完走、毎月何冊の本を読む、部屋の掃除を終わらせる、など、自分の中で達成したい何かについて数値や状態などで表し、そこに向けて取り組んでいくもの。そんなイメージです。
このように考えると、何年もかけて達成するものから日々の活動まで、大きな目標、小さな目標、あまり意識をしないうちに、いろんな目標を持って生活しているのだと気がつくかもしれません。「目標」として掲げなくとも、何かしらどこかで小さな「目標」は、誰もが考えていそうです。
今年のゴールデンウィーク、甥っ子姪っ子と妹とで大きなショッピングモールで楽しい時間を過ごしました。その日は自分に夕方予定があり、時間が差し迫っていたため、「また会おうね」と、その場で別れました。その日は初夏に近いくらいの暑い日で、私は日傘を持参していたのですが、その日傘をその場に忘れてしまったのです。携帯電話で連絡をもらいながらも、別れた場所からすでにかなり離れてしまっており、次の予定に間に合うかぎりぎりだったため、日傘を残したまま、次の予定に向かいました。
後から聞いた話ですが、甥っ子姪っ子たちは私を追いかけて、「日傘をネネに届けるんだ!」と張り切っていたそうです。(ネネと呼ばれています)
ちなみに甥っ子姪っ子は、6歳、4歳です。この小さな「忘れ物」の出来事は、甥っ子姪っ子にとって、「日傘をネネの元に届ける」という目標となり、その目標を達成するための行動をとろうとしていたのです。
なぜ、私に日傘を届けることに張り切ったのでしょうか。
考えるに、そこには
「自分たちが届けた日傘をネネが受け取って喜んでくれる」
「ネネが喜んでくれることが嬉しい」
「大好きなネネを助けたい」
そんな「幸せな未来へのイメージ」や彼らの「価値感」があり、それが「ネネに日傘を届ける」という目標につながったのではないでしょうか。(図1)

目標を達成することによって、本人にとってどんな意味があるのか、何を感じるのか、どのように変わっていくのか、そこに「幸せな未来へのイメージ」があるからこそ、人はそこに向かって行動していくのではないでしょうか。
例に挙げた甥っ子姪っ子の小さな目標は、突発的な出来事ではありましたが、それを達成することは、何かしら「幸せな未来へのイメージ」がそこにあったように思えませんか?そこにつながる何かがあったからこそ、無意識にでも行動に移っていたのではないでしょうか。その目標を達成することは、「ネネを助ける」のか、「喜んでもらいたい」のか、そこにどんな意味があったのかは、本人たちに聞いてみないとわかりません。ただ、行動することに対する、何かしらの意味が甥っ子と姪っ子にあったのだと、私は感じています。
人は、「意味」や「価値感」に基づいている場合、無意識にでも行動し、「やりがい」「やる気」を感じるものなのだ、と言えそうです。
次に、「やりがい」「やる気」が生まれる理由はわかったけれど、では、継続していくには?
日々のことを振り返ると、「やりがい」「やる気」の継続は、とても大切な視点です。
私はある資格試験の合格を目指しています。昨年、見事に落ちてしまい、現在再チャレンジに向けて取り組んでいるところです。1年間で1500時間ちかくの時間をその取り組みに当ててきたため、落ちたときはかなりのショックでした。しかし、そこで振り返りを行うことで、今回皆さんにお伝えしている「幸せな未来へのイメージ」と「目標」の関係がはじめて自分の中で結びついたのです。その関係を表したものが、図2です。

この図は、「やりがい」「やる気」について、「①目標」「②行動」「③評価」「④満足・達成感」「⑤渇望」の5つのフレームワークを当てはめて定義してみたものです。
達成したいと考えている目標は、自分にとって「幸せな未来へのイメージ」に基づく意味をもっているものです(①目標)。目標を達成するための行動をとります(②行動)。そして、行動を継続するための大切な機能である評価を行って、成長を確認していきます(③評価)。評価の結果、成長に足りなければまた行動を繰り返し、満足いくものであれば、達成感を得られます(④満足・達成感)。やりがいの中の心地よさを感じた人は、またやりがいのサイクルに戻りたくなり、「やりがいのサイクル」戻っていきます(⑤渇望)。
この5つのフレームワークのそれぞれが「やりがい」ととても密接に関わっています。次回は、これら5つのフレームワークについて、「やりがい」につながるポイントを押さえ、「やりがい」が継続していくためには何が必要なのかを一緒に押さえていきたいと思います。
第4回 その場でできる心身評価~あなたの体のサビ度チェック~
<監修>
清泉クリニック整形外科 スポーツ医学センター
施設長 脇元 幸一
パソコンに向かってデスクワークしている皆さん、肩こり・腰痛・頭痛などに悩まされていませんか?
前回までは心身の疲労や体力といった実感できることについてお話ししてきましたが、目に見えない内面はどのようになっているのでしょうか?第4回となる今回は「簡単にできる体のサビ度チェック」についてお話します。あなたの体の内面について考えてみましょう。自分自身の体のサビ度を把握してみてください。
サビ度チェックテスト
以下の項目について「YES」「NO」で答えてください。
| ① 野菜よりも肉のほうが好きである。 | 「YES」 「NO」 |
| ② 食べ物の好き嫌いが多いほうである。 | 「YES」 「NO」 |
| ③ 味付けは濃い目が好きである。 | 「YES」 「NO」 |
| ④ 自分自身でメタボリックを自覚している。 | 「YES」 「NO」 |
| ⑤ アルコールをよく呑む。 | 「YES」 「NO」 |
| ⑥ 薬をよく服用したり、サプリメントを多用している。 | 「YES」 「NO」 |
| ⑦ 煙草を吸っている。もしくは吸う人が近くにいる。 | 「YES」 「NO」 |
| ⑧ 朝起きるのがつらい。 | 「YES」 「NO」 |
| ⑨ 日中も眠気を感じる。 | 「YES」 「NO」 |
| ⑩ 体の冷えを感じる。 | 「YES」 「NO」 |
| ⑪ 心配事やイライラすることが多い。 | 「YES」 「NO」 |
| ⑫ 笑顔が少ないような気がする。 | 「YES」 「NO」 |
| ⑬ 携帯電話やパソコンなどの使用が多い生活をしている。 | 「YES」 「NO」 |
| ⑭ 家族内に癌や生活習慣病をもつ者がいる。 | 「YES」 「NO」 |
| ⑮ 運動習慣があまりない。 | 「YES」 「NO」 |

「体のサビ」とは、一言でいうと言葉は悪いですが、体内の腐ったものがどれぐらいあるかということを表します。この腐った状態を作り出すのが巷で耳にする活性酸素といわれるものです。この活性酸素が多くなればなるほど体内で腐敗が進み内面から体がおかしくなってくるのです。
自分自身の持ち物で何もしていないのに鉄が錆びてしまっていたことを一度は体験したことがあると思います。鉄が酸素と結合して錆びを生じているのですが、体内でも同様なことが生じます。本来人間の体は活性酸素を必要としますが、過剰に体内に発生すると鉄と同じことが体内でも起こってくるのです。これにより身体に老化・生活習慣病・メタボリックシンドロームといった病気を発生させる原因となるのです。
今後皆様の健康を考える中で、この活性酸素が過剰に体内に発生しない生活、および体を作ることが健康への第一歩となります。
第1回で頭と内臓のストレス検査、第2回で体力の中の「筋力検査」、第3回で体力の中の「柔軟性」、そして今回の「体のサビ度」についてお伝えしてきました。
これらの「ストレス」「筋力」「柔軟性」「体のサビ」に対する対処法はいたって簡単です。キーワードは「食う」「寝る」「遊ぶ」。いよいよ次回より、これらの対処法についてご案内していきたいと思っております。こうご期待!!
(文責:清泉クリニック整形外科 スポーツ医学センター 理学診療部 嵩下 敏文)
第3回 その場でできる心身評価~1秒でできる体力評価②~
<監修>
清泉クリニック整形外科 スポーツ医学センター
施設長 脇元 幸一
パソコンに向かってデスクワークしている皆さん、肩こり・腰痛・頭痛などに悩まされていませんか?
さて第3回となる今回も、「体力」についてお話します。前回もお話しましたが、体力とは大きく分けて2つに分ける事ができます。それは、「筋力」と「柔軟性」です。この2つを同時に持っている方が『体力がある』といっても過言ではありません。前回は「簡単にできる筋力検査」についてお伝えしましたが、今回は「簡単にできる柔軟性評価」についてお話します。自分自身の柔軟性を把握してみてください。
あなたの柔軟性はどれぐらいか?
「体が硬いですね」との問いかけに、「昔から硬いんです」という言葉を私は臨床の場でよく耳にします。この言葉は諦めなのか、いいわけなのかはわかりませんが、柔らかくならないのは自分のせいではなく、昔からこうなので変わりませんという言葉にしか聞こえません。
そうではないのです!! 柔らかくなろうと努力すれば可能なのに努力しないだけなのです。例えは、新体操などの高いレベルで柔軟性を必要とするスポーツをやっている選手が努力なく柔らかくなったと思いますか?そんなことはありません。努力してあの柔らかい体を手に入れている選手がほとんどなのです!柔軟性はバネの作用をします。つまり体にかかる衝撃を吸収する作用があるのです。車のサスペンションを思い出してみてください。サスペンションのいい車は乗り心地が柔らかいですが、サスペンションの悪い車は乗り心地が硬いのはすぐ想像がつきます。つまり、柔軟性のない体はサスペンションの悪い車と同じなのです。
では、あなたの柔軟性がどの程度なのか判断する方法を3つご案内いたします。
①もも裏柔軟性

写真左のようにその場で立った状態から前屈して指先が地面につくかどうかをみます。写真右のように地面に着く事が出来た人は合格。これで、もも裏の柔軟性をみることができます。
②もも前柔軟性

写真左のように椅子に座った状態で足首を持ちます。そのまま体と足が一直線になることが出来るかどうかをみます。写真右のように体と足が一直線になることができた人は合格。これで、もも前の柔軟性をみることができます。
③背中柔軟性

写真左のように片足をなげだした状態になります。そのまま頭が膝につくかどうかをみます。写真右のように頭が膝につくことが出来た人は合格。背中の柔軟性をみることができます。
3つとも合格だった方:柔軟性は優秀です。もしかしてタコ人間!?
2つ合格だった方:比較的体は柔らかい人ですね。まあ、普通というところですか。
1つ合格だった方:これは黄色信号ですね。いつ赤信号になってもおかしくありません。
すべて不合格だった方:危険!! サスペンションのない車で走っているのと同じ状態です。
前回の「筋力」、今回の「柔軟性」、この2つがなぜ体力を表すのかを図で示します。

上図が筋力もあり、柔軟性もある状態です。これが「体力が高い」となります。この状態が理想的な状態であることを表します。

逆に左の図のように筋力が高くても柔軟性が低い場合は「体力が低い」となります。また、右図のように柔軟性が高くても筋力が低い場合も「体力が低い」となります。
柔軟性の落ちた体はレントゲンでも特徴的なものがみられます。

写真をみてわかるように、正常な背骨はS字状になっていますが、柔軟性が低下している背骨はまっすぐな背骨になってしまっています。柔軟性がある人はバネのように衝撃を吸収することができてS字を保つ事ができますが、柔軟性が低下してしまっている人は衝撃吸収できないので背骨同士で支えるようになってしまい、結果としてまっすぐな背骨になって体を支えようとしてしまうのです。つまり、背骨のS字が無くなってきている人は柔軟性が落ちてきているのです。
このレントゲン像はどこかでみたことがありませんか? そうです! 第1回で伝えた頭の疲れ・内臓の疲れ、第2回で伝えた筋力の低下と同様なのです。このように様々なことが背景となって背骨のS字を消失させる原因となるのです。
第1回で頭と内臓のストレス検査、第2回で体力の中の「筋力検査」、第3回で体力の中の「柔軟性」についてお伝えしてきました。第4回では「その場でできる心身評価~あなたの体のサビ度チェック~」について紹介いたしますのでお楽しみに!!
(文責:清泉クリニック整形外科 スポーツ医学センター 理学診療部 嵩下敏文)
第2回 その場でできる心身評価~1秒でできる体力評価①~
清泉クリニック整形外科スポーツ医学センター 施設長
脇元 幸一
パソコンに向かってデスクワークしている皆さん、肩こり・腰痛・頭痛などに悩まされていませんか?
さて第2回となる今回は「体力」についてお話します。体力とは大きく2つに分けることができます。それは、「筋力」と「柔軟性」です。この2つを同時に持ちえる方が、体力がある、といっても過言ではありません。そのなかで、今回は「簡単にできる筋力検査」についてお話しますので、自分自身の筋力を把握してみてください。
あなたの筋力はどれぐらいか?
皆さんがやらなければ、と気付いていることなのに、なかなか実行できないのが運動習慣ですね。この地球上にて運動を行う中で絶対に無視できないのが重力です。地球上の人は動作を行うとき、必ず重力に抵抗できなければ動くことができません。この重力にどれだけ勝てるかが筋力なのです。今回はその場ですぐできる筋力テストをお教えします。
それは、下の図に示すように『何センチの高さから片脚で立てるか』をやってみるだけで筋力が点数化できるのです!! この筋力は『体重支持指数』といって医学的にも根拠ある筋力指数です。

では、普通のパイプ椅子を用意してみてください。パイプ椅子の高さは約40cmです。

左のように椅子に座り、片脚を宙に浮かし膝を伸ばした状態で座ります。次に反対の床についている足で反動なくゆっくり立ち上がってみましょう。このとき、痛みなどがある場合は無理のないようにしてください。
この約40cmの高さから問題なく立てた方は、以下のように台や椅子を低くして何cmから立てるかを試してみてください。(週刊誌などを重ねて簡単な台にしてください)
さて結果は…?

130点!これが出来た方は筋力が十分です。どんなことをやっても筋肉は悲鳴をあげない人です。また少々のストレスでは体に変調をきたしません。
筋力は問題ないと言える人です。
日常生活はほぼ大丈夫でしょう。しかし、ちょっとした油断、生活ストレスなどが蓄積すると肩こり・腰痛・頭痛などの症状が出現する恐れがあります。
この高さから立てた人は体力の低下がみられます。
このような方はその場の対処療法(マッサージ、電気、薬)でも症状がなかなか改善できない体力となります。
この高さから立てなかった人は、黄色信号から赤信号です。日常生活をしているだけでも体にストレスがかかる状態です。つまり、生きていることがストレスとなります。
この状態の方はいきなり運動を始めても筋力が上昇するどころか、症状が悪化する可能性もありますので、プール歩行から運動を開始することが大切です。
私は若いからといっても体力が必ずしも伴うものではありません。また、今は症状がなくても今後症状が出現する予備軍かもしれません。まずは己を知ることからはじめましょう。ぜひお試しください!
ここでもう1つ筋力について情報を示します。大切なのは、筋力とはただ動くことだけではないのです。実は…、整形外科的疾患である肩こり・腰痛・膝痛などは筋力が無くなっていることが原因で生じるのです。
筋力が落ちている方はレントゲンでも特徴的なものがみられます。

写真を見てすぐわかるように、正常な背骨はS字状になっていますが、筋力が低下している背骨はまっすぐな背骨になってしまっています。筋力がある人は筋肉で体を支えられるので背骨をS字状に保つことができますが、筋力が低下している人は筋肉で自分の体を支えることができないので背骨の骨同士で体を支えるようになってしまい、結果としてまっすぐな背骨になって体を支えようとしてしまうのです。つまり、背骨のS字がなくなってきている人は筋力が落ちていると考えられるのです。
このレントゲン像はどこかでみたことがありませんか?そうです!第1回で伝えた頭の疲れ・内臓の疲れと同様なのです。このような様々なことが背骨のS字を消失させる原因となるのです。
第1回で頭と内臓のストレス検査、第2回で体力のうち「筋力検査」についてお伝えしてきました。次回は「その場でできる心身評価~1秒でできる体力評価②~」で、もう1つの体力の要素、「柔軟性」について紹介いたしますのでお楽しみに!
(文責:清泉クリニック整形外科 スポーツ医学センター 理学診療部 嵩下敏文)
第1回 その場でできる心身評価~疲労を評価する~
清泉クリニック整形外科スポーツ医学センター 施設長
脇元 幸一
パソコンに向かってデスクワークしている皆様、肩こり・腰痛・頭痛などに悩まされていませんか?
今回から数回にわたって「体力を科学する」と題して、皆様に有益な情報をお伝えしていきます。ここでの情報は、NHK番組「健康ほっとらいん」で、過去数回にわたって私が紹介した内容です。しっかりとしたエビデンスに基づいて、シンプルに「体の不思議」をまとめ上げました。是非、ご自分の心身状態を正確に把握し、対処法を学び、自己コントロールに役立ててください。
さて第1回は『その場でできる心身評価~疲労を評価する~』です。この評価は、頭の疲れが溜まっていないか?内臓の疲れが溜まっていないか?の判定です。
頭の疲れか?内臓の疲れか?
図1のように背中の胸椎の部分を上半分と下半分に分けます(女性はブラのホックのラインで分けます)。
図1に示す胸椎範囲にあたる左右の背筋を上から下に向かって、トントンと他の人に叩いてもらいます。「鈍い痛み」または響くような「いた気持ちよさ」を感じる部分を探します。最初は軽く叩いて痛みが感じられなければ、徐々に強く叩いてください。
それが図1の上半分に集中している場合は「頭の疲れ」が筋肉の硬さとして現れている状態とみなします。パソコンによる目の疲れ、心のストレスが溜まることが主な原因となります。
一方、響きが図1の下半分に集中していれば「内臓の疲れ」が筋肉の硬さとなって現れているとみなします。睡眠不足・動物性タンパク(肉・魚・乳製品)の摂り過ぎが主な原因となります。
上下全域に渡って痛みを感じる方は、デスクワークの疲れや、仕事・プライベートでの精神的ストレス・外食が多い・睡眠不足気味など、複数の原因によって現れている症状とみなします。
以上は未病(病気になる寸前)の段階での評価として有用です。まずご自分の体を評価してみてください。

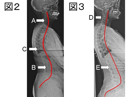
さぁ、ここで心身の健康を保っている方と心身疲労の強い方のレントゲン写真を比較してみましょう。図2は健康な方の背骨のラインです。健康な方は首(図中A)・腰(図中B)は前弯(前に弯曲)しており、その間の胸椎(図中C)は後弯(後ろに弯曲)しているのがお分かりでしょう。
一方、図3は強い肩こり・頭痛と腰痛に悩む患者様の背骨のラインを示します。まず首(図中D)・腰(図中E)を良く見てください。腰も首も前弯が消失し、まっすぐになっているのがわかります。こうなったら、普段の生活も困難なほど、症状が強く出るため、仕事を辞め、治療に専念するしかありません…。当然この患者様は胸椎上下部分全域に渡って叩くと、強い痛みを訴えます。
では、誰でも疲れると図3のようになるのか…?そうではありません。図3のようになるには、もう一つ条件が必要になります。その条件とは『体力』です。体力が低くなるという条件が加わると、図3のような背骨のラインに変化していくのです。

これから先は、次回の「その場でできる心身評価~1秒でできる体力評価~」で紹介いたします。お楽しみに!
SQiPとは
セミナー
研究会
シンポジウム
資格試験
国際会議
ニュース
コミュニティ
アーカイブ
調査・研究
SQuBOK®
その他